国立研究開発法人 量子科学技術研究開発機構
QST病院

OPENCLOSE
  • 日本語
  • English

大腸がん術後再発に対する重粒子線治療について

記載医師 瀧山 博年

大腸がん術後再発に対する重粒子線治療について

大腸がんの治療について、近年では手術手技の向上、腹腔鏡やロボット支援技術の普及に伴う患者さんの身体の負担の軽減、術前化学療法や化学放射線療法などの手術の効果を高める補助療法の発達により非常に良い治療成績が得られています。それに伴い手術後に手術部周囲に再度がんが出現する「局所再発」も減少していますが、未だ5~10%程度の症例に局所再発が認められると報告されています。こうした局所再発の多くは切除不能であったり、切除のために非常に身体への負担が大きな手術が必要となることが多いため、化学療法や放射線療法が選択されることもあります。しかし、これらの治療ではがんが完治する可能性は高くはありません。
大腸がんの大部分は腺がんであり、また再発したがん組織の内部は低酸素細胞の割合が多いことから、一般的に放射線が効きにくいと考えられています。また、一度骨盤内に放射線治療(X線治療)を受けているかたでは、周囲の正常な臓器も放射線照射を受けているため、耐容線量(正常な臓器が受けることのできる放射線の上限量)の関係で再度の放射線治療(X線治療)を受けることができず、治療の選択肢が限られてしまうことも問題でした。
これらのことから、放射線の影響を受けやすい正常臓器を避け、放射線が効きにくい細胞にも高い殺細胞効果が認められる重粒子線は、大腸がん術後再発に対する有効な治療として期待がもたれており、医師用の大腸がん治療ガイドライン中にも有効な治療法として掲載されています。

重粒子線治療の適応について

2022年4月に「手術による根治的な治療が困難である局所大腸癌(手術後に再発したものに限る)」に対して保険が適応となりました。主に骨盤内に再発した腫瘍を対象としております。また、大腸がんの術後再発として骨盤外の腹部リンパ節の再発もしばしばみられますが、これらに対する重粒子線治療は引き続き先進医療として行われます。主な照射期間は下表の通りです。
なお、大腸がんの原発巣(つまり、術後の再発ではなく、もともとあるもの)に対する治療は行なっていません。すでに術前化学放射線療法を行なっており、骨盤内に照射をおこなったことがあるかたや、再発巣に対して放射線治療を行った後に再びがんが悪化したかたであっても再治療可能な場合があります。

表 適応条件と治療方法
表 適応条件と治療方法

重粒子線治療ができない条件はありますか?

  • 骨盤内の再発や腹部リンパ節以外にも、他の臓器に根治不能な転移巣がある。
  • 再発腫瘍が消化管や膀胱などに広く接しているか、浸潤している。
  • 照射範囲に活動性・難治性の感染を有する。
  • 重篤な合併症がある。
  • その他医師が治療困難と判断した場合。

重粒子線治療はどんな利点がありますか?

重粒子線は腫瘍に集中して高い線量を照射することができるので、正常組織の障害も少なく、殺細胞効果の高い治療が可能です。陽子線と比較しても強い効果が認められます。

重粒子線治療はどんな副作用がありますか?

正常組織を避けて腫瘍にのみ照射することから、副作用が少ないことが特徴でもあります。しかしながら、可能性があるものとしては、主なものとして皮膚の赤みやかゆみ、倦怠感、下痢、腹部の違和感、脚の神経障害などです。また、稀ではありますが重篤なものとして消化管潰瘍、出血、骨盤内感染などがあります。

大腸がん術後再発に対する重粒子線治療について以下に説明します。

1 大腸がん術後骨盤内再発

対象となる患者さん

大腸がん術後の骨盤内再発と診断されたかた

重粒子線治療の成績

放医研(現在のQST)では大腸がん術後骨盤内再発に対して2001年から重粒子線治療の第I/II床試験を開始し、安全性・有効性が確認された後、2003年11月より先進医療として治療を行っています。73.6Gy/16回で照射された151例の3年および5年局所制御率は91%、88%、3年および5年全生存率はそれぞれ78%、59%でした※1。また国内の重粒子線治療3施設の観察研究(J-CROS1504)では、大腸がん術後骨盤内局所再発224例での解析において3年および5年局所制御率は93%、88%、3年および5年生存率がそれぞれ73%、51%と報告されています ※2。手術療法では治癒切除例の5年生存率が30-40%と報告されており、単純な比較はできませんが重粒子線治療の成績は手術療法の成績と劣らない可能性があります。また、X線による放射線治療と化学療法の併用では5年全生存率20%程度とする報告が多く、これらの成績と比較しても良好であると考えられます。
最近では術前にX線照射を行う症例も増加していますが、X線治療後の大腸がん再発症例に対してX線で再治療を行うことは、正常組織の耐容線量を考慮して困難であるとされています。重粒子線治療は周囲の正常組織を避けて治療することが可能ですので、X線照射を行ったことがある症例であってもさらに治療することが可能です。術前にX線照射を行ったのちに大腸がんに対する切除を行った症例で、術後に骨盤内局所再発に対する重粒子線治療を施行した77例の解析では、3年の局所制御率が90%であり、生存率は3年で61%でした。これらの成績は上述の重粒子線治療(X線照射の既往なし)の例と同様に良好な成績でした。重粒子線治療はX線照射後の大腸がん術後再発に対する治療法としても有効であることが示されました※3,4

重粒子線照射の方法

担当医師が患者さんの適格性(治療にあたって問題がないか)を確認します。適格と判断された場合は説明文書に沿って患者さんに治療内容を説明し、文書による患者さんの同意を得ます。その後、所内のキャンサーボードにて審議し、承認を得て初めて治療可能となります。治療準備として、まず固定用の装具を作成します。翌日以降に治療計画用のCT撮影を行い、治療計画を行います。準備には約12日間を要します。重粒子線治療は4週間かけて73.6Gyまたは70.4Gy/16回で行います。重粒子線治療中は化学療法の併用は行いません。重粒子線治療後の後治療は規定していませんが、標準的な抗がん剤を用いた維持目的の化学療法を行っていただくことも可能です。

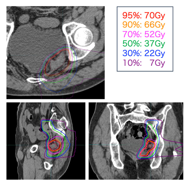
図 治療計画
図 治療計画

症例の紹介

大腸がん術後の骨盤内局所再発(赤↓)に対して重粒子線治療73.6Gy/16回を行いました。PET画像では治療前には腫瘍に一致して高いFDGの集積(黄↓)を認めましたが、治療後にはFDGの著明な集積低下を認めました。

図 症例の紹介
図 症例の紹介

実際の治療計画では、周囲の膀胱や消化管などの正常組織への線量を考慮しながら、腫瘍へ十分な線量が照射されるよう配慮します。また、外科的な郭清の概念にならい、再発腫瘍だけでなく周囲のリンパ節領域も可能な限り照射野に含めることで、再燃・再発のリスクを抑えます。

図 照射野
図 照射野

2 大腸がん術後腹部リンパ節再発

対象となる患者さん

大腸がん術後の腹部リンパ節再発と診断されたかた

重粒子線治療の成績

大腸がん術後傍大動脈リンパ節転移に対して52.8Gy/12回/3週間で重粒子線治療を行った34例の成績を紹介します。局所制御率は、治療後3年で70%でした。また、全生存率は3年で63%でした。切除例の報告では、3年生存率が80%前後であることと比較すると良好な成績であると考えられました。また、障害については皮膚・消化管に重症(Grade3以上)にあたる有害事象を認めませんでした※5

重粒子線照射の方法

治療の流れは骨盤内局所再発と同様です。ただし線量とスケジュールが異なり、重粒子線治療を3週間で55.2Gyないし52.8Gy/12回で行います。先進医療として実施中です。

図 治療計画
図 治療計画

(注)Gyは生物学的効果比加重線量です。

文献

※1 Yamada S, Kamada T, Ebner D.K. Carbon-ion radiotherapy for pelvic recurrence of rectal cancer; Int.J.Radiat Oncol Bio Phys 96:93-106, 2016
※2 Shinoto M, et al. Carbon-ion radiotherapy for locally recurrent rectal cancer: Japan Carbon-ion Radiation Oncology Study Group (J-CROS) Study 1404 Rectum; Radiother Oncol 132:236-240, 2018
※3 Yamada S, Takiyama H, Isozaki Y, et al. Carbon Ion Radiotherapy for Locally Recurrent Rectal Cancer of Patients with Prior Pelvic Irradiation. Ann Surg Oncol, 29(1):99-106, 2022.
※4 Takiyama H, Yamada H, Isozaki T, et al. Carbon–ion radiotherapy for unresectable locally recurrent colorectal cancer: A promising curative treatment for both radiotherapy–naïve cases and re–irradiation cases Int J Radiation Oncol Biol Phys, 118(3), 734−742 (2024)
※5 Isozaki Y, Yamada S, Kawashiro S, et al. Carbon-ion radiotherapy for isolated para-aortic lymph node recurrence from colorectal cancer; J Surg Oncol. 116:932-938, 2017.

連絡先

連絡先QST病院 地域医療連携室
TEL:043-206-3483
FAX:043-206-3439
受付時間平日 9:00〜11:30、12:30〜16:00
  • 16:00以降は翌診療日の対応となります